Cabinet dentaire du Dr Arie ABIHSSIRA
Orthodontie
179 Avenue de la Capelette, 13010 Marseille
+33 4 88 60 07 55
Cabinet dentaire du Dr Arie ABIHSSIRA
Orthodontie

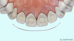
Fil de contention


video-play-icon

Articles similaires

Création par Webdentiste

Connexion